ヒラメと鹿島灘はまぐりの種苗生産が始まりました。

2024年5月16日

ヒラメは5月5日から、鹿島灘はまぐりは5月8日から令和6年度の種苗生産を開始しました。

今年度の目標は、ヒラメ 全長100mm/85万尾、鹿島灘はまぐり 殻長2mm/300万個・殻長5mm/5万個です。

ヒラメは8~9月、鹿島灘はまぐりは9~11月に放流できるよう種苗生産を進めます。

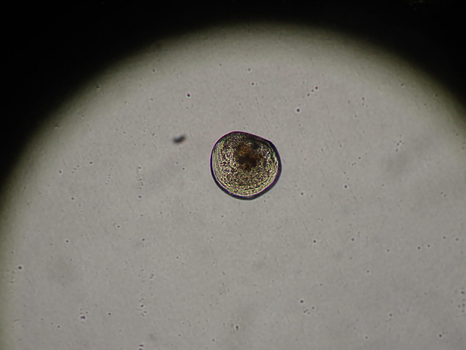
ヒラメの種苗(孵化後6日目・全長約5㎜)

鹿島灘はまぐり浮遊幼生         (孵化後7日目・殻長約0.18㎜)